Brennpunkt Notaufnahme

Interessante Fälle aus einer chirurgischen Notaufnahme

Sonntag, 13. Dezember 2015

Fall 50:Wadenschmerz - Nicht immer Durchblutungsstörungen Teil I

›
Als Notfall wurde der78-jährige Arno K. in der Ambulanz vorgestellt. Der rüstige Rentner gab an, seit 6 Monaten zunehmend schlechter l...

Fall 50: Wadenschmerzen - Nicht immer Durchblutungsstörungen II

›
Cave! Wegen der Dysäthesien in den Armen denken Sie auch an eine cervicale Myelopathie: Radiologisch fanden sich degenerative Verän...
Dienstag, 24. November 2015

Kaffee gegen Impotenz

›
Kaffeetrinker leiden seltener an einer erektilen Dysfunktion. Das gilt vor allem bei einem Konsum von zwei bis drei Tassen pro Tag. ...
Sonntag, 15. November 2015

Fall 49: Wadenschmerzen - Nicht immer Thrombose: Die infizierte Bakercyste

›
Es fallen folgende Befunde ins Auge: Die liquide Raumforderung in der Wade, arthrotische Veränderungen auf dem Röntgenbild und die erhöhte...
Donnerstag, 12. November 2015

Wie starb Helmut Schmidt?

›
Am 10.11.2015 stirbt Altkanzler Helmut Schmidt. In der Presse sind Informationen über seine Grunderkrankung kaum zu finden. Doch folgendes...

Fall 49: Wadenschmerzen - Nicht immer Thrombose - Röntgen

›
Sie denken an eine Bakercyste! Im Röntgen sehen dieses Bild:   Labor:  Leukos 12.600, CRP 260, Rotes Blutbild sonst o.B....
Sonntag, 8. November 2015

Fall 49: Wadenschmerz: Nicht immer Thrombose!

›
In die internistische Ambulanz kommt ein 68-jähriger Patient auf der Durchreise. Er habe eine 8-stündige Busfahrt hinter sich und klagt nu...
Donnerstag, 29. Oktober 2015

Proximale Femurfrakturen: OP Zeitpunkt entscheidend

›
Die meisten ergebnisbezogenen Daten über die häufigen und kostenintensiven hüftgelenknahen Frakturen leiten sich aus der externen Quali...
Freitag, 16. Oktober 2015

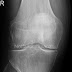
Fall 48: Der symptomatische Knieerguss MRT

›
Sie sehen eine cystische Veränderung im lateralen Tibiaplateau! Neben dem Röntgen wird auch zur weiteren Differenzierung ein MRT vera...

Fall 48: Der symptomatische Knieerguss - Die subchondrale Geröllcyste

›
Das Röntgen zeigt eine unschriebene cystische Formation im lateraled Tibiaplateau. Im MRT stellt sie sich subchondral als signalreich d...
Montag, 12. Oktober 2015

Fall 48: Der symptomatische Knieerguss

›
Zur Aufnahme kommt eine 70-jährige Patientin. Sie klagt über eine seit 3 Tagen bestehende Schwellung des linken Kniegelenkes. Ein Tr...
Montag, 5. Oktober 2015

Fall 47: Nicht immmer eine Bandverletzung - Tillaux Fraktur

›
Sie sehen über dem "b" eine Frakturlinie. Diese epiphysäre Fraktur nennt man "Tillaux Fraktur" oder "Übergangsf...
Samstag, 26. September 2015

Fall 47: Nicht immer eine Bandverletzung des Sprunggelenkes!

›
Bei einer Distorsion (Verstauchung) führen besondere Kräfte auf ein Gelenk zu einer meist unerwarteten, erzwungenen Bewegung, die den ...
‹
›
Startseite
Web-Version anzeigen

Dr E Pietsch

notfalambulanz.blogspot.com
Mein Profil vollständig anzeigen
Powered by Blogger.