Translate this page

Donnerstag, 21. Dezember 2023

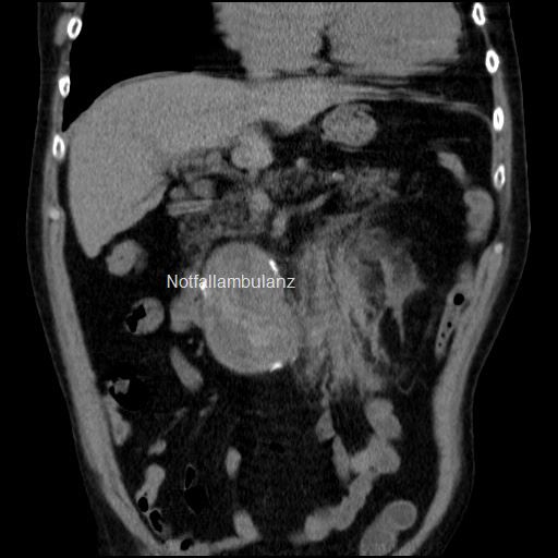
Fall 82: Der akute Bauchschmerz

Ein 84-jähriger Bewohner eines Altenheimes wird mit dem Rettungsdienst vorgestellt. Er klagt über akut eingesetzte abdominelle Beschwerden ohne Übelkeit oder Erbrechen. Diese bestünden bereits seit 2 Stunden und hätten nicht auf Gabe von Analgetika angesprochen.

Bei dem Patienten ist ein Diabetes mellitus Typ II bekannt sowie eine KHK, Hypertonie und eine Niereninsuffizienz. Es wird u.a. ASS eingenommen.

Körperliche Untersuchung:

84-jähriger schlanker Mann in reduziertem Allgemein- und Ernährungszustand. Die Bauchdecken sind weich und ohne Abwehrspannung. Im Unterbauch tastet sich eine Resistenz, die nicht als druckdolent angegeben wird. Die Peristaltik ist reduziert, jedoch nicht klingend. Keine Beinödeme. Fußpulse nur schwach tastbar.

Befunde:

Sonografisch sind die Oberbauchorgane unauffällig. Keine freie Flüssigkeit in den Pouches. Die Aorta jedoch ist oberhalb der Bifurkation auf 8 cm erweitert.

Es besteht der Verdacht eines  symptomatischen Aortenaneurysmas. Es wird ein erweitertes Labor mit der Anforderung von 4 Blutkonserven. Ein Angio-CT schließt sich an und zeigt folgenden Befund.




Diagnose:

Gedeckt perforiertes Aortenaneurysma


Mittwoch, 13. September 2023

Fall 81: Der komplizierte Rückenschmerz (Behandlungsmöglichkeiten)

 Diskussion:

Bei dem Patienten bestanden seit 2 Jahren Rückenschmerzen ohne Trauma. Eine diagnostische Abklärung zu dem jetzigen Zeitpunkt erbrachte das Vorliegen eines metastasierenden Bronchialcarcinoms.

Die Leitlinien sehen vor, dass nach Anamnese und Untersuchung ohne Hinweise auf akut behandlungsbedürftige Verläufe bei Rückenschmerzen keine weiteren diagnostischen Maßnahmen indiziert sind. Diese werden erst nach 4 bis 6 wöchiger Dauer und leitliniengerechter Behandlung empfohlen und dann auch nur einmalig. Dagegen wird eine Bildgebung empfohlen bei Hinweisen auf ein spezifisches Geschehen, z.B. Trauma, Tumor bei höherem Alter, Steroidtherapie, neurologische Symptome, Spondylarthritis, allgemeine Symptome wie kürzlich aufgetretenes Fieber oder Schüttelfrost, Appetitlosigkeit, rasche Ermüdbarkeit, durchgemachte bakterielle Infektion, i.v.-Drogenabusus, Immunsuppression, konsumierende Grunderkrankungen, kürzlich zurückliegende Infiltrationsbehandlung an der Wirbelsäule oder starker nächtlicher Schmerz. In den Leitlinien wird das Alter des Patienten nicht berücksichtigt. Bei jungen Patienten als auch bei „älteren“ Patienten über 55 Jahren besteht die Indikation der Abklärung. Dazwischen ist die Inzidenz von Rückenschmerzen sehr hoch und die Verläufe i.d.R. selbstlimitierend (Chou 2011)[i].

Mit dem Alter jedoch steigen auch die Ursachen extravertebragener Rückenschmerzen. Hier imponieren vor allem abdominelle und viszerale Prozesse, z. B. Cholezystitis, Pankreatitis; Gefäßveränderungen, insbesondere Aortenaneurysmen (Takeyachi 2008)[ii], gynäkologische Ursachen, z. B. Endometriose, urologische Ursachen, z. B. Urolithiasis, Nierentumoren, perinephritische Abszesse, neurologische Erkrankungen, z. B. Polyneuropathien, und psychosomatische und psychiatrische Erkrankungen. Ihr Anteil wird auf 2% geschätzt (Deyn 2001)[iii]. Damit kann ein Großteil dieser Erkrankungen durch eine zusätzliche Abdomensonografie und einen Urinstatus zeitnah erkannt werden.

Bei malignen Grunderkrankungen sind Rückenschmerzen meist durch die Metastasierung eine Spätmanifestation, insbesondere von Magen, Lunge, Prostata, Nieren, Lymphomen, gastrointestinalen Tumoren und der Brust. Auf sie entfallen 80% (Greenberg 2016)[iv]. Sie treten bei ca. 10% der Karzinompatienten auf. Besonders häufig sind sie bei Patienten im mittleren Alter (40–65 Jahre). Im Kindesalter sind Metastasen dagegen sehr selten und treten zumeist intramedullär bei hirneigenen Tumoren auf.

Die Metastasierung erfolgt hämatogen primär in die Wirbelkörper. Mit zunehmendem destruktiv infiltrativen Wachstum können dann aber auch die Pedikel betroffen oder der Spinalkanal bedrängt werden. Nur selten wächst der Tumor in die Dura und verbreitet sich intradural (Abeloff 2008)[v].

Die Brustwirbelsäule ist mit 50–60 % der Fälle am häufigsten betroffen. Hier sind es die Segmente BWK 4 bis BWK 7. Beim Prostatakarzinom dagegen steht die Metastasierung in der Lendenwirbelsäule im Vordergrund. Bei mehr als der Hälfte der Patienten kommt es zum Befall über mehrere Höhen der Wirbelsäule.

Therapie

Die Wahl der Therapie richtet sich zunächst nach dem zugrunde liegenden Primärtumor.  Die Behandlung der Wirbelkörpermetastasen richtet sich nach der Lokalisation, verbleibender Stabilität, der Dauer und Ausprägung neurologischer Symptome sowie dem Allgemeinbefinden des Patienten. Klassifikationssysteme, wie z.B. der Tomita Score, Tokuhashi Score oder Spinal Instability Neoplastic Score, sollen bei der Entscheidung der Versorgung helfen, haben jedoch in der Praxis eine eingeschränkte Anwendbarkeit und dienen eher als Hilfe.

Das primäre Ziel der Therapie ist die Tumorreduktion oder im Idealfall -resektion, um den Spinalkanal und die Nervenwurzeln zu entlasten und eine Schmerzlinderung zu erreichen.

Medikamentöse Behandlung

Cortison kann eine akute Schwellung und den Druck auf die Nervenstrukturen mindern.

Bisphosphonate sollen den Knochenabbau verhindern und damit eine Schmerzlinderung erzeugen.

Manche Tumoren wachsen hormonabhängig, sodass auch Hormonpräparate angewendet werden können.

Bestrahlung

Durch die Bestrahlung des Tumors werden Tumorzellen reduziert. Dies kann als Monotherapie oder in Kombination nach einer Operation durchgeführt werden.

Operation

- Kypho- oder Vertebroplastie

- Laminektomie und Spondylodese

Bei der Laminektomie werden Teile des knöchernen Wirbelkörpers zur Entlastung des Spinalkanales entfernt. Der Tumor kann dabei nicht immer vollständig entfernt werden. Es kann durch die OP eine Instabilität erzeugt werden, die durch eine Spondylodese ergänzt werden kann.  Zur Abschätzung dienen Klassifizierungssysteme, z.B. der SINS-Score. Diese berücksichtigen die Lokalisation der Metastase, Ausmaß der Schädigung und Position der Wirbelkörper zueinander (Fisher 1976)[vi]

Prognose

Die Gesamtprognose ist wesentlich abhängig vom Primärtumor und dessen Tumorstadium. Im Behandlungskonzept ist die Schmerzkontrolle der wesentliche Bestandteil sowie die Stabilität der Wirbelsäule, um weitere neurologische Komplikationen, z.B. einen Querschnitt, zu verhindern.

Als prognostisch günstig gelten bei Befall der Wirbelsäule als Solitärmetastase und Metastasen von Karzinomen der Brust, Niere, Lymphome oder Myelome als Primärtumoren. Dagegen sind multiple Metastasen, das Auftreten pathologischer Frakturen und ein Lungenkarzinom als Primärtumor ungünstige Faktoren, ebenso wie neurologische Symptome oder deren Ausfall (Bauer 1996)[vii]. Der Ort der Metastase hat prinzipiell keinen prognostischen Wert, bestimmt aber wesentlich die Möglichkeiten des operativen Vorgehens.

Auch der Status der neurologischen Funktionen vor einer Operation oder anderen Therapien bestimmt maßgeblich das Ergebnis. Insbesondere die Gehfähigkeit und Schliessmuskelfunktion sind dabei von Bedeutung, so stellt ein vollständiger Verlust der Sphinkterfunktion einen ungünstigen prognostischen Faktor dar und ist in der Regel irreversibel (Greenberg 2016).



Literatur auf Nachfrage

Freitag, 8. September 2023

Fall 81: Der komplizierte Rückenschmerz

 Zur Aufnahme kommt ein 63-jähriger Mann mit dem RTW. Er habe beim Aufstehen aus dem Bett bei einer Drehbewegung ein Knacken in der rechten Hüfte gespürt und wäre dann auf die linke Seite gefallen. Er konnte danach nicht mehr aufstehen. Er klagt Schmerzen in beiden Beinen.

Anamnestisch bestehen keine Vorerkrankungen. Fumatorium von 20 Zigaretten pro Tag. Es werden chronische Rückenschmerzen angegeben. Diese bestehen seit 2 Jahren. Vor 6 Wochen wäre er vom Orthopäden zum MRT überwiesen worden. Dieses habe „Cysten“ in der Lunge beschrieben. Der Pat gibt an, dass daraufhin ein Termin in der umliegenden Uni-Klinik vereinbart worden wäre.

Befund:

63-jähriger Patient in gutem Ernährungszustand und altersentsprechendem Allgemeinzustand. Das rechte Bein liegt deutlich innenrotiert. Die Kontur im Oberschenkel ist verplumpt. Die aktive Bewegung ist aufgehoben. Es findet sich eine Krepitation bei Mobilisierung des Beines. Die periphere Durchblutung und Sensibilität sind erhalten. Das linke Bein liegt ohne Fehlhaltung. Bei Bewegung wird jedoch ein Leistenschmerz angegeben. Auch hier besteht ein unauffälliger Durchblutungsstatus.

Radiologisch werden eine Beckenübersicht, beide Oberschenkel und ein Thorax angefertigt.


Rechts zeigt sich eine proximale Torsionsfraktur des Femur. Im Bruchspalt imponiert eine lytische Läsion. Links stellt sich eine pertrochantäre Femurfraktur dar.

Therapie und Verlauf:

Die Frakturen werden primär mit einem Femurnagel stabilisiert. Die Versorgung ist unkompliziert. Aus dem lytischen Befund wird eine Histologie entnommen. Diese weist muzinöse Anteile eines Adenokarzinoms nach. Das Staging mit Thorax und Abdomen-CT fallen zusätzliche Metastasen der Rippen, der Symphyse und des 5. Lendenwirbelkörpers auf. Als Primarius stellt sich ein zentrales Bronchialkarzinom rechts dar. Nach onkologischer Vorstellung erfolgt die Verlegung in eine neurochirurgische Abteilung zur Stabilisierung mittels Spondylodese der LWK Metastase und zur Einleitung einer Chemotherapie.




Sonntag, 23. Juli 2023

Fall 80: Pseudoobstruktion des Colons (Diskussion)

 Diskussion:

Eine Obstruktion des Darms ohne ein mechanisches Hindernis kann akut oder chronisch verlaufen.  Sir Heneage Ogilvie (1948)[1] berichtete erstmals über 2 Kranke mit kolikartigen Leibschmerzen und   einer   ileusartigen   Auftreiben   des Dickdarmes.   Bei ergebnisloser radiologischer und endoskopischer Untersuchung stellte sich bei der Laparotomie eine maligne Infiltration des Plexus coeliacus ohne krankhaften Befund am Dickdarm selbst dar.  Als Erklärung führte Ogilvie ein Überwiegen der parasympathischen Impulse aus dem Plexus   sacralis an mit einem Verlust der sympathischen Einflüsse durch die maligne Infiltration. Daraus resultierte seiner Meinung nach ein segmentärer Spasmus im Bereich des Sigmas.

Heute wird mit dem Ogilvie Syndrom eine chronische Pseudoobstruktion beschrieben, bei der keine mechanische Ursache (engl.: Chronik idiopathisch intestinal pseudoobstruction (CIIP)) zugrunde liegt, sondern eine Motilitätsstörung der Darmwand bzw. eines Darmsegmentes.

Sie kann myogen durch eine Erkrankung der Darmwandmuskulatur oder neurogen durch eine Fehlfunktion der Darmnerven bedingt sein. Demzufolge unterscheidet man eine viszerale Myopathie oder viszerale Neuropathie.

In sehr seltenen Fällen findet sich eine Degeneration der lockeren bindegewebigen Verschiebeschicht innerhalb der Muskularis propria ungeklärter Genese mit der Folge einer erschwerten Muskelkontraktion (Desmose).

Für die Motilitätsstörung werden folgende Ursachen angeführt:

§  Als häufigste Ursache der CIIP wird eine Autoimmunreaktion angenommen (Ghirardo 2005)[2] mit Bildung antineuronaler Antikörper und enterischer neuronaler Degeneration.

§  Als Störung oder Rarifizierung der intestinalen Cajal-Zellen. Diese finden sich in der Muskulatur des Gastrointestinaltrakts und vermitteln die elektromechanische Aktivität für die gesamte gastrointestinale Motilität (Stanghellini 2005)[3], z. B. bei der paraneoplastischen Form beim kleinzelligem Bronchialkarzinom (Pardi 1997[4], Sørhaug 2005[5]), der slow-transit constpation (Wedel 2002)[6] oder bei der idiopathischen Form (Boeckxstaens 2002)[7].

§  Als autoimmune Erkrankung bei der enterischen Leiomyositis (Haas 2005)[8]

§  Als Folge einer neurologischen Erkrankung (ALS oder MS)

§  Als assoziiertes Symptom internistischer Erkrankungen ( hepatische Enzephalopathie bei Leberzirrhose, kongestive Herzerkrankung oder andere Autoimmunerkrankungen wie Lupus erythematodes).

Klinisch präsentiert sich die Erkrankung mit Stuhlverhalt bis hin zur Ileussymptomatik, Völlegefühl und Inappetenz, einer Zunahme des Leibumfanges und Inppetenz. Der Verlauf kann fortschreiten und bei zunehmender Distension in einer Darmperforation mit akutem Abdomen münden.

Die Diagnostik schließt eine Bildgebung sowie ein Labor mit Entzündungsparametern und Laktat ein. Radiologisch imponieren auf einer Abdomenübersicht die distendierten Darmanteile. Ein Abdomen CT ist aussagekräftiger, da es das Vorliegen relevanter Stenosen detektieren kann. Häufig bestehen Beschwerden über Jahre und werden erst nach 5 bis 8 Jahren  richtig gedeutet (Mann 1997[9], Stanghellini 2005) [1].

Differentialdiagnostisch muss eine Spätmanifestation eines Morbus Hirschsprung erwogen werden. Bei diesem besteht ein segmentaler enterischer Nervenzellmangel im Rektum oder unteren Sigma. Er tritt meist post partum durch einen Mekoniumileus in Erscheinung und wird  dann durch endoskopische, radiologische, manometrische und histologische Methoden gesichert. In der Regel liegt begleitend eine Motilitätsstörung des Antrums und Duodenums sowie des gesamten Dünndarms vor, die auch ein frühes Völlegefühl verursachen können (Nachweis über eine antroduodenale Manometrie). 

Eine kausale Therapie gibt es in der Behandlung des Ogilvie Syndroms nicht. Therapieansätze zielen in der Akutphase auf eine endoskopische Absaugung gefangener Darmgase oder Anlage eines hohen Darmrohres. Bei Komplikationen wie drohender oder eingesetzter Perforation wird ein Anus praeter angelegt. Auch wurde eine totale Kolektomie diskutiert. Wenn die Dünndarmmotilität vorrangig mitbetroffen ist, wurde auch schon eine Dünndarmtransplantation in Erwägung geszogen und gelegentlich durchgeführt (Stanghellini 2005).

Langfristig wird den Patienten empfohlen, auf blähende Speisen zu verzichten. Einzelfälle beschreiben eine parenterale Langzeiternährung über einen Port (Stanghellini 2005) oder Ernährungssonden (Mann 1997). In Einzelfällen mit einer paraneoplastischen Genese mit inhibierenden Mediatorstoffen wurde Oktreotid erfolgreich eingesetzt (Sørhaug 2005).

Auch werden Prokinetika zur Verbesserung der GI-Dysmotilität eingesetzt. Dazu zählen Erythromycin, ein Makrolid-Antibiotikum, häufig in Verbindung mit Octreotid. Dadurch wird die Antrum-Duodenal-Phase III des migrierenden motorischen Komplexes stimmuliert und folglich der Dünndarmtransit beschleunigt (Di Lorenzo 1999[10], Venkatasubramani 2008[11]). Zusätzlich kann die Serotonin (5-Hydroxytryptamin oder 5-HT) stimmuliert werden. Dazu gehört Prucaloprid, ein 5-HT4-Rezeptoragonist, mit prokinetischen Einfluss auf die Magenentleerung und den Dünndarmtransit (Di Lorenzo 1991[12], Hyman 1993[13], Amiot 2009[14]). Weitere  Wirkstoffe sind die Acetylcholinesterase-Inhibitoren (ACIs) Neostigmin und Pyridostigmin. Sie haben ihre Wirkung in Fällen, die gegenüber Standardtherapien refraktär sind (Law 2001[15], O’Dea 2010[16], Di Nardo 2019[17]).

Zur Behandlung und Prophylaxe werden am häufigsten die Antibiotika Amoxicillin-Clavulanat, Ciprofloxacin, Doxycyclin und Metronidazo eingesetzt (Kirby 2018)[18]. Auch wurde Rifaximin empfohlen. Es ist ein schlecht resorbierbares Antibiotikum mit zusätzlicher bakteriziden/bakteriostatischen Wirkung aber geringer bakterieller Resistenz (Koo 2010[19], Rabenstein 2011[20]). Die Verabreichung führt zu einer Verbesserung der obstriktionsbedingten assoziierten Symptome (Menees 2012[21], Saadi 2013[22])

Sonntag, 25. Juni 2023

Fall 80: Pseudoobstruktion des Colons (Der Fall)

 Zur Aufnahme kommt eine 42-jährige Patientin mit abdominellen Beschwerden. Seit einer Woche habe sie das Gefühl, dass der Bauch an Umfang zugenommen hätte. Sie klagte Völlegefühl und Inappetenz aber ohne Erbrechen. Der Stuhlgang wäre bis vor 2 Tagen schmierig gewesen mit kleinem Volumen und brauner Farbe. Bei ihr wäre vor 2 Jahren eine Colitis ulcerosa diagnostiziert worden, die gut mit Mesalazin und Salofalk eingestellt sei. Diesbezüglich bestanden auch keine wässrig schleimigen Stühle. Miktion wäre normwertig, eine Schwangerschaft ausgeschlossen. Auch wurden Fieber, Nachtschweiß oder Gewichtsverlust verneint.

Die Colitis ulcerosa hätte sich vor 2 Jahren als akute Proktitis manifestiert. Diese konnte mit lokalen Maßnahmen sowie der Kombination aus Salofalk und Mesalazin beherrscht werden. Dann hätte sich eine Coloskopie mit Etagen PE’s angeschlossen. Ferner ist eine primär biliäre Lebercirrhose bekannt, die ebenfalls in ambulanter Kontrolle wäre.

Bei der Untersuchung findet sich eine 42-jährige schlanke Patientin in gutem Allgemeinzustand. Sie erscheint fußläufig und wirkt wenig tangiert. Die Bauchdecken sind gebläht aber weich mit tympanitischem Klopfschall ohne lokalen Druckschmerz oder Abwehrspannung. Es zeigen sich keine Narben. Die Bruchpforten sind geschlossen, Peristaltik regelrecht und nicht klingend. Bei der Inspektion der Analregion liegt flüssig brauner Stuhl vor, der Sphinktertonus ist normal, der Sphinkter selbst ist nicht passierbar.

Die Sonografie des Abdomens ist erschwert. Die Oberbauchorgane stellen sich normwertig dar. Der gesamte Colonrahmen ist überbläht. Es findet sich kein Nachweis freier Flüssigkeit oder Darmkokaden.

Unter dem Verdacht einer distalen proktitischen Colonstenose wird ein CT des Abdomens angemeldet. Hierbei beschreibt der Radiologe ein Ogilvie Syndrom ohne Hinweis auf eine mechanische Stenose.

Das Labor weist eine Leukocytose von 12700 aus, ein CRP von 9 und ein normwertiges Laktat. Pathologisch ist das Kalium mit 2,4 mval.

Therapeutisch erfolgt die eingeschränkte Nahrungskarenz mit Infusionsprogramm und freiem Trinken sowie die Gabe von Solu Decortin H 250mg, die Fortführung der Eigenmedikation mit Salofalk und Mesalazin sowie die lokale Applikation von Salofalk Schaum. Zusätzlich wird die Patientin gastroenterologisch vorgestellt zur endoskopischen Dekompression.

Montag, 15. Mai 2023

Fall 79: Die asymptomatische Hirnblutung unter Rivaroxaban

Fall 79: Die asymptomatische Hirnblutung unter Rivaroxaban

Um 2.00 wird mit dem RTW ein 78-jähriger Mann vorgestellt. Dieser wurde blutüberströmt von seiner Ehefrau im Bett sitzend vorgefunden. Er gab an, im Badezimmer ausgerutscht und auf den Hinterkopf gefallen zu sein. Bewusstlosigkeit oder Commotiozeichen wurden explizit verneint.

Eigenanamnese:

Bei dem Patienten besteht neben einem Hypertonus eine Arrhythmie mit Vorhofflimmern. Medikamentös ist er seit 2 Jahren auf 15mg Rivaroxaban (Xarelto®) eingestellt.

Körperlicher Befund:

Bei der Aufnahme erscheint der Patient klar und zu allen Qualitäten orientiert. Der Sturzhergang kann problemlos angegeben werden. Neurologisch bestehen keine Defizite. Arme und Beine werden symmetrisch bewegt und können seitengleich gegen Widerstand mobilisiert werden. Der Patient trägt einen Druckverband am Kopf, der bereits durchblutet ist. Bei Abnahme findet sich occipital eine 5 cm lange tiefe Platzwunde mit einer persistierenden Wundrandblutung. Es besteht kein knöcherner Druckschmerz oder klinisch der Verdacht einer Schädelfraktur.

Im Labor besteht ein unauffälliges rotes Blutbild mit normwertiger klinischer Chemie. Die GFRC wird mit 55 mL/min angegeben.

Therapie und Verlauf:

Zunächst erfolgt die Wundversorgung, mit der die Blutung zum Stillstand gebracht werden kann. Das EKG zeigt die (bekannte) Arrhythmie bei Vorhofflattern. Aufgrund der Einnahme einer oralen Antikoagulation, wird ein Schädel-CT angemeldet.

 


Diagnose:

Chronisch subdurales Hämatom unter Rivaroxaban

Therapie

Der Patient wird zunächst auf die Intermediate Care Station zur weiteren Verlaufsbeobachtung aufgenommen. Er erhält gewichtsadaptiert 30 U/kg PPSB und ein Blutdruckmonitoring mit Zielvorgabe eines Blutdruckes unter 140mm Hg systolisch. Zusätzlich wird eine programmierte CT Kontrolle in 6 Stunden nach Aufnahme angemeldet. Diese zeigt einen konstanten und unveränderten Befund. Radiologisch stellt sich die Blutung aufgrund seiner hypodensen Dichtewerte als älter dar, so dass von einem chronischen Verlauf ausgegangen werden darf. Damit wird der Patient mit weiterhin beschwerdefreiem Verlauf auf die Normalstation verlegt und nach 48 Stunden symptomlos aus dem Krankenhaus entlassen.

Diskussion:

Eine intrakranielle Blutung (ICB) beschreibt mehrere verschiedene Zustände, einschließlich hämorrhagischer Schlaganfall und subdurales oder epidurales Hämatom, und ist durch die extravaskuläre Ansammlung von Blut im Schädel gekennzeichnet. Das Suduralhämatom liegt zwischen Dura und arachnoidaler Membran. Es findet sich häufig als Folge einer Schädelverletzung mit Verletzungen der Brücken- oder kortikalen Venen mit Einblutung in das Spatium subdurale. Als chronisch wird es ab dem 10. Tag nach Trauma definiert.

Intracerebrale Blutungsereignisse sind aufgrund der steigenden Zahl älterer Menschen und des zunehmenden Gebrauchs von oralen Antikoagulanzien (OAK) und Thrombozytenaggregationshemmern weltweit eine zunehmende Ursache für Tod und Behinderung (Qureshi 2009[1]). Die ICB ist die schwerwiegendste Komplikation einer oralen Antikoagulanzientherapie. Ihre  Sterblichkeitsrate von über 50 % liegt dreimal so hoch wie bei einem ischämischen Schlaganfall (Kleindorfer 2006[2]). Ihre Inzidenz ist durch den zunehmenden Gebrauch stark steigend (Hart 1995[3]).

Seit der Einführung der neuen Generation an nicht Vitamin K abhängigen oralen Antikoagulanzien ist die Behandlung von arrhythmiebedingten Komplikationen, z.B. Embolie und Apoplex, einfacher geworden. Marcumar erfordert ein kontinuierliches Monitoring, unterliegt nahrungsabhängigen Faktoren und ist von der Compliance der Patienten abhängig. Rivaroxaban ist ein Faktor Xa Inhibitor und braucht nur einmal täglich ohne INR Monitoring verabreicht zu werden. Der Nutzen wird dem von Marcumar gleichgestellt. Intracerebrale Blutungskomplikationen sollen sogar geringer sein (Patel 2011)[4]. Aus der eigenen Erfahrung treten Blutungskomplikationen jedoch im Vergleich zu Marcumar bei Rivaroxaban nicht nur häufiger auf sondern stellen je nach betroffener Körperregion schwerere bis lebensbedrohliche Komplikationen dar. So bestätigte Alberts (2012[5]) ein erhöhtes Risiko für Magen-Darm-Blutungen im Vergleich zu Marcumar. In der EINSTEIN Studie (2010)[6] fanden sich bei Patienten über 65 Jahren zudem höhere Thrombose- und Blutungsraten als bei den unter 65 Jährigen.

Rivaroxaban erfährt überdies besondere Einschränkungen. Es ist bei Patienten mit Lebererkrankungen kontraindiziert, die mit einer Koagulopathie verbunden sind (Graff 2013[7]). Auch muss der Nutzen bei Patienten mit verminderter Kreatinin-Clearance kritisch abgeschätzt werden, da sich die Eleminationszeit verlängert und damit das  Blutungsrisiko erhöht (Kubitza 2010[8], Samama 2011[9], Hori 2013[10]). Die empfohlene Höchstdosis ist daher abhängig von der Nierenfunktion. Bei einer Kreatininclearance von über 50 mL/min beträgt sie 20mg und 15mg bei einer Clearance von 15 bis 50 mL/min. Die scheinbar bessere Steuerbarkeit durch den Wegfall der INR Kontrolle wird somit durch die Kontrolle der Nierenfunktion ersetzt. Zusätzlich bieten sich weiterhin Gerinnungskontrollen an, da eine Überdosierung im Labor als INR Erhöhung manifest wird. Die Gefahr einer Blutungskomplikation scheint damit dosisabhängig zu sein (Ruff 2014[11]).

Ein anderer Aspekt sind medikamentöse Interaktionen. Nagaraja (2019)[12] betonte die Bedeutung arzneimittelbedingter Nebenwirkungen, die die Interaktion mit Rivaroxaban verstärken, insbesondere Amiodaron (Amin 2016[13], Hellwig 2013[14]), Amlodipin (Gonzva 2015[15]) und Thrombozytenaggregationshemmer.

Die Inzidenz von intrazerebralen Blutungen ohne Antikoagulanzien nimmt im Alter zu. Je nach Autor variiert sie ab dem 65 Lebensjahr zwischen 0,09 und 0,65% und steigt auf 0,38 bis 0,67 bei den über 75 Jährigen (Hart 1995 und 1999[16], Flaherty 2007[17], Krishnamurthi 2013[18]). Auch oder auch trotz Antikoaguklation kann es zu thrombembolischen Ereignissen oder Blutungen kommen. Unter allen oralen Antikoagulanzien besteht bei Rivaroxaban das höchste Risiko an intracerebralen Blutungen (Angelozzi 2015[19]). Die genaue Anzahl an Blutungskomplikationen dürfte wegen einer ungewissen Anzahl an asymptomatischen Verläufen höher liegen.

Die Komplikation einer intracerebralen Blutung unter Rivaroxaban wurde 2014 von Lo (2014)[20] und 2015 von Ruschel (2015)[21] und Ismail (2017[22]) als epidurale Blutung beschrieben. Fälle einer asymptomatischen spontanen Blutung sind jedoch rar. Bei unserem Patienten war zwar eine Schädelverletzung vorausgegangen, doch sie war offensichtlich nicht die Ursache für das subdurale Hämatom. Dieses musste zu einem früheren Zeitpunkt entstanden und ohne Beschwerden verlaufen sein. Die Durchsicht der Krankenakte zeigte  keinen vorherigen Kontakt, so dass von einer asymptomatischen Blutung ausgegangen werden kann.

Fazit:

Intrazerebrale Blutungen können unter bestehender Antikoagulation auftreten und asymptomatisch verlaufen. Sie können als Zufallsbefund beim routinemäßigen Screening, z.B. nach einer Kopfverletzung, auffallen und bedürfen bei Beschwerdefreiheit einer Verlaufskontrolle und bei stationärem Verlauf keiner weiteren Therapie. Die Zahl an Blutungskompikationen dürfte aufgrund asymptomatischer Vrläufe höher sein als in Studien nachgewiesen.

 

 

Samstag, 1. April 2023

Fall 78: Covid maskiert als Nierenkolik

Seit dem ersten gemeldeten Covid-19 am 28.1.2020 hat sich das Verständnis der Erkrankung durch Sars-Cov 2 grundlegend verändert. Galt die pulmonale Manifestation zunächst als pathognomonisch, änderte sich die klinische Präsentation im weiteren Verlauf der Pandemie. Wir berichten über einen Patienten mit klinischen Symptomen einer Nierenkolik, bei dem mehr zufällig eine pulmonale Manifestation mit Covid 19 auffiel.

Der Fall:

In der Notaufnahme stellt sich um 1.25 Uhr ein 52 jähriger Patient vor. Er war bereits in der vorigen Nacht zur gleichen Zeit vorstellig geworden. Geklagt werden intermittierende linksseitige Flankenschmerzen mit einer Intensität von 9 bis 10 VAS. Allgemeinsymptome bestehen nicht. Fieber, Übelkeit, Erbrechen werden verneint, ebenso wie Unregelmäßigkeiten bei Miktio oder Stuhlgang. Der Patient habe das Gefühl, dass die Beschwerden lagerungsabhängig im Liegen stärker ausgeprägt seien.

Insbesondere in Zeiten von Corona werden Kontakte mit positiv getesteten Personen oder Covid typische Symptome verneint. Der diensthabende Arzt am Vortag hatte den Eindruck einer vertebragenen Genese. Beschwerden waren bewegungsabhängig mit einem punktuellen paravertebralen Druckschmerz. Eine Urinuntersuchung und Ultraschalluntersuchung waren routinemäßig durchgeführt worden, hatten aber keinen pathologischen Befund erbracht hatte. Es wurde die symptomatische Analgesie empfohlen.

Bei der erneuten Vorstellung zeigte sich ein Patient mit Bewegungsdrang. Er hockte bei Kontakt  vor der Untersuchungsliege und vermochte keine bequeme Position auf der Liege einzunehmen. Das Abdomen tastete sich weich. Es fanden sich keine Hinweise für Leisten- oder Bauchwandhernien. Die Wirbelsäule konnte allseits schmerzfrei bewegt werden. Es wurden keine paravertebralen Schmerzpunkte sondern Beschwerden unter dem linken Rippenbogen und dem Nierenbecken angegeben. Die Vitalparameter, insbesondere die pO2, waren unauffällig.

Sonografisch fanden sich unauffällige Oberbauchorgane. Insbesondere die linke Niere stellte sich ohne Aufstauung oder echogene Binnenstrukturen dar. Keine freie Flüssigkeit,  Darmkokaden oder erweiterte Pankreasloge

Laborchemisch fielen erhöhte Entzündungswerte auf: Leukos 28.300 G/l sowie ein CRP 138 mg/dl. Elektrolyte, Leberwerte, Pankreasfermente und Creatinin normwertig. Das Urinsediment war positiv für Blut. Der POCT PCR-Test  bei Aufnahme war ohne Nachweis einer aktiven Covid-19 Infektion.



 Fig 1: Initiales CT Abdomen

Unter dem Verdacht einer Nierenkolik mit möglicher Nierenbeckenentzündung wurde ein „Stein“-CT des Abdomens durchgeführt. Eine Urolithiasis oder Harnabflussstörung konnten nicht dargestellt werden. In den basalen Lungenanschnitten fielen milchglasartige Veränderungen wie bei einer Covid Infektion auf (Kategrie 2, Cov19ind). Es wurde ein Thorax-CT angeschlossen. Dabei fielen die folgenden Befunde auf:

   


Fig 2: CT Thorax mit Covid-19 typischen Anzeichen einer pulmonalen Infektion

 In den basalen Abschnitten stellte sich sich in beiden Lungen ein Mischbild aus Dystelektasen sowie milchglasartigen Eintrübungen i.S einer stattgehabten Covid-19 Infektion dar.

Die Therapie startete mit einer gezielten Antibiose. Der PCT Test am Folgetag konnte keine aktive Infektion nachweisen. Der Patient verließ daraufhin die Klinik gegen ärztlichen Rat.

Diskussion:

Der erste bestätige Fall einer Infektion mit dem „severe acute respiratory syndrome coronavirus 2“ (SARS-CoV-2) in Deutschland wurde am 28.01.2020 berichtet. Ab diesem Zeitpunkt breitete sich das Virus in ganz Deutschland pandemisch aus. Für die Schwere des Verlaufs ist der Lungenbefall entscheidend. Mit zunehmender Dauer der Pandemie wurde jedoch auch deutlich, dass sich Covid-19 erheblich von seinen Vorgängern SARS („severe acute respiratory syndrome“) und MERS („middle east respiratory syndrome“) unterscheidet. Zu den führenden Symptomen zählten zunächst Fieber, Halsschmerzen, Husten und Atemnot mit bevorzugter Manifestation hauptsächlich des Atemtrakts als Kardinalsymptome.

Im Verlauf der COVID-19-Pandemie erweiterte sich das klinische Spektrum jedoch um zusätzliche Oganmanifestationen wie Kopfschmerzen, abdominelle Symptomatiken, vaskulärer Befall, Durchfall, Geschmacks- und Geruchsverlust oder Hautveränderungen. Das Verständnis der Erkrankung wandelte sich dadurch zu einer Systemerkrankung mit einem sehr heterogenen Erscheinungsbild. Dabei können einerseits respirratorische Symptome im Vordergrund stehen aber auch nur die einzelnen Organmanifestationen.

In unserem Fall stellte sich ein junger Patient mit intermittierenden Flankenschmrzen und Bewegungsdrang vor. Differentialdiagnostisch kam zunächst eine nephrogene Ursache mit Steinpassage bei Urolithiasis in Frage. Dies wäre konsistent mit dem Nachweis von Blut im Sediment gewesen. Die erhöhten Entzündungswerte blieben unklar. Sonografie und das „Stein“ CT konnten eine Nephro-oder Urolithiasis nicht bestätigen. Stattdessen fielen basale pulmonale Residuen einer stattgehabten Covid-19 Infektion. Diese wiederum erklären die erhöhten Entzündungsparameter. Fieber bestand nicht und auch anamnestisch bestand kein Hinweis für eine durchgemachte Covid-19 Infektion. Der initiale PO-PCT Test fiel negativ aus.

Damit fällt unser Patient in die Gruppe von Patienten, bei denen aufgrund gastrointestinaler Symptome eher zufällig im abdominalen Computertomographie die Diagnose einer Covid 19 Infektion gestellt wird. Dabei waren nicht die abdominellen Veränderungen richtungsweisend sondern die basal angeschnittenen Lungenabschnitte.

Eine multizentrische Studie von Pan et al (2020)[i] fand dazu heraus, dass mehr als 50% der 204 Patienten über Verdauungssymptome wie Appetitlosigkeit, Durchfall, Erbrechen und Bauchschmerzen berichteten. Eine kürzlich durchgeführte Metaanalyse von 4234 Patienten ergab eine Prävalenz der GI-Symptome von 17,6% (Cheung 2020)[ii]. The high incidence could be confirmed by Schmulson (2020)[iii] in a review of the literature of 2800 cases that revealed 39% of abdominal symptoms in a Covid infection. Drei Fallberichte enthielten Hämatochezie als Symptom (Jaijakul 2020[iv], Carvalho 2020[v], Guotato 2020[vi]).

Auch Hormati (2020)[vii] berichtete über eine Anzahl von Patienten mit untypischen abdominellen Symptomen, bei denen auf dem Abdomen -CT basale Lungenveränderungen auffielen, die als Covid-19 Erkrankung bestätigt werden konnten.

Es gibt auch mehrere Fallberichte von Patienten, bei denen anfangs oder im Verlauf ihrer gesamten Infektion ausschließlich GI-Symptome auftreten (Pazgan-Simon 2020[viii], Xiao 2020, Yang 2020, Gahide 2020[ix]). Die größte Studie, eine Single-Center-Studie von Luo (2020)[x] zeigte, dass von 1141 bestätigten Fällen von COVID-19 16% der Erkrankten über GI-Symptome klagten. Viele Fälle von COVID-19 konnten dabei erst durch abdominale Bildgebungsscans gefunden werden (Sendi 2020[xi], Siegel 2020[xii], Kim 2020[xiii], Dane 2020[xiv]). Hossain et al (2020)[xv] fanden heraus, dass sich in mehr als 50% ihrer 119 Patienten in dem CT der Bauch- oder Wirbelsäule Anzeichen von COVID-19 zeigten.

Einige Autoren empfehlen Radiologen daher, die CT-Untersuchungen des Abdomens sorgfältig auf typische COVID-19-Befunde an den Lungenbasen zu überprüfen (Amaral 2020)[xvi].

Die kolikartige Symptomatik unseres Patienten wies zunächst auf eine Urolithiasis. Der umschriebene Schmerz mit hoher Intensität und intermittierendem Charakter mochte nicht zu einer Lungenbeteiligung durch Covid-19 passen. Dazu gibt es jedoch eine Untersuchung von Widyardhama (2020)[xvii], die über Muskelschmerzen zusammen mit einer COVID-19 Infektion berichtet. Andere Schmerzformen, z.B. Gelenkschmerzen, Magenschmerzen und Hodenschmerzen, werden genannt. Auch neuropathische Schmerzen können auftreten, sind jedoch eher selten. Es wird angenommen, dass COVID-19-Mechanismen im Nerven- und Bewegungsapparat durch die Expression und Verteilung des Angiotensin-Converting-Enzyms 2 (ACE-2) verursacht werden.

Als Standardverfahren zur Identifizierung der Coronavirus-Krankheit-2019 (COVID-19) bei Patienten mit klinischen Symptomen ist der Nachweis durch eine Abstrichuntersuchung aus dem Nasen-/Rachenraums mit RT-PCR-Testung (RT-PCR, Reverse-Transkriptase-Polymerase-Kettenreaktion, im Folgenden „PCR“) auf virale RNA (12). Sie bietet eine fast absolute Sicherheit, Virusmaterial zu identifizieren und damit die spezifische Diagnose einer SARS-CoV-2-Infektion zu stellen (3). Doch selbst bei korrekter Abstrichentnahme werden falsch-negative PCR-Resultate gesehen (45). Die Wiederholung des Tests ist daher bei suggestiver klinischer Symptomatik üblich.

Als weiteres tool steht die native Niedrigdosis-Computertomografie des Thorax (ND-CT) zur Behandlungssteuerung von Patienten mit COVID-19 zur Verfügung. Früh wurde fiel auf, dass die COVID-19-assoziierte Pneumonie im CT einen charakteristischen Befund erzeugt. Diese bestehen aus dichten, peripher gelegenen Milchglastrübungen oder einem Mischbild aus Milchglastrübungen und Konsolidierungen. Dabei können die Milchglastrübungen durch ein feines Netzmuster (Retikulationen) überlagert sein. Dieses wird als „Crazy Paving“ bezeichnet. Dabei können die Gefäße innerhalb der Verdichtungen oder periläsional dilatiert sein. Die Verdichtungen sind häufig rund, geografisch oder streifig. Es findet sich eine multifokale und bilaterale Verteilung mit einem bevorzugten Befall der posterioren Unterlappen. Differentialdiagnostisch erinnern die Veränderungen an eine (kryptogen) organisierende Pneumonie. Die Milchglasanteile treten mit zunehmendem Schweregrad in den Hintergrund und es überwiegen die Konsolidierungen bishin zum diffusen Alveolarschadens (diffuse alveolar damage, DAD) (Schaible 2020)[xviii].

Die Einteilung [xix]

Das native Niedrigdosis-CT (ND-CT) weist eine hohe Treffsicherheit der ND-CT für die Diagnostik von COVID-19 auf mit hoher Sensitivität (94,7 %) und Spezifität (91,4 %) gegenüber anderen Lungenerkrankungen derselben klinischen Symptomatik. Diese hohe Aussagefähigkeit wird durch ein Abstrichergebnis und den klinischen Verlauf erreicht. Aber auch andere Effekte spielen eine Rolle, z.B. die Prävalenz, saisonaler Viren wie z.B.  Influenza- oder RS-Viren, als Ursache von pneumonischer Veränderungen.

Obwohl die positive Abstrichuntersuchung/PCR die Diagnose COVID-19 mit absoluter Spezifität/PPV etabliert, besteht der Vorteil der ND-CT in einer schnelleren Verfügbarkeit ihrer Ergebnisse, i.d.R. im Median nach neun Minuten, wohingegen die Abstrichergebnisse erst nach einem Median von 8,3 Stunden verfügbar waren. Das ermöglicht in einer pandemischen Situation eine zügige Identifikation eines potenziell infektiösen Patienten.

Zur Klassifizierung kann die COV-RADS Einteilung herangezogen werden. Sie berücksichtigt die Ermittlung diagnostischer Kennzahlen. Eine Kategorie COV-RADS-2 ermöglicht dem Radiologen, eine Lunge mit eindeutig pathologischem Befund als test-negativ zu bezeichnen, wenn die Infiltrate nicht COVID-19-suspekt sind.

Fazit:

Abdominelle Beschwerden können eine atypische Präsentation von Covid-19 sein. Sie treten sehr heterogen in Erscheinung und können neben gastrointestinalen Symptomen auch das klinische Bild einer Nierenkolik imitieren. Bis zum Ausschluss einer Covid-19 Infektion sollte sich das medizinische Personal entsprechend schützen.